How Do You Know If You Have Oral Cancer From Hpv : Tongue Cancer Symptoms Pictures Prognosis : Did you know that perhaps as many as 75% of adults carry hpv?
Dapatkan link
Facebook
X
Pinterest
Email
Aplikasi Lainnya
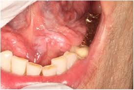
How Do You Know If You Have Oral Cancer From Hpv : Tongue Cancer Symptoms Pictures Prognosis : Did you know that perhaps as many as 75% of adults carry hpv?. Oral cancers of the mouth and throat are on the rise in people infected with the human papillomavirus (hpv). These viruses are passed from person to person through if you have symptoms that suggest oral cancer, your. How does oral hpv spread? The source or location of cancerous cells are different for different forms of cancer, therefore treatment is cervical screening test. If you experience any of the following symptoms, visit a.
How do you limit your risks? People who have a persistent sore throat or enlarged lymphnodes should be examined. Hpv (human papillomavirus) is a common virus spread through sexual contact. The risk of getting a second cancer from hpv is low, but your healthcare providers will continue to examine you regularly. If you find out that you have an oral hpv infection, it does not necessarily mean that your partner was/is unfaithful people with throat cancer, with hpv in their tumour, live longer on average than people without hpv.
Hpv Is Causing An Oral Cancer Epidemic In Men By Outwitting Natural Defenses Chicago Tribune from www.chicagotribune.com You're at greatest risk if you smoke at least a pack a day for 10 years. How do you limit your risks? The doctor will asks you questions about your health and your lifestyle habits (like if you smoke or drink alcohol), will examine you, and order tests to find out what is. If you find out that you have an oral hpv infection, it does not necessarily mean that your partner was/is unfaithful people with throat cancer, with hpv in their tumour, live longer on average than people without hpv. How does hpv cause cancer? Because hpv can cause cancer, it is important to know how to prevent hpv and how to prevent cancer after an hpv infection. Hpv is transmitted to your mouth by oral sex. The only way to know if you have an hpv infection is if your health care provider tests you for the virus.
There are 200 known hpv strains, including the garden varieties that cause warts on your fingers and feet, and 25 types of hpv virus have been associated with oropharyngeal cancer.
They have been shown to prevent. However, if you have a lot of sexual partners you are more likely to be infected with hpv and if your immune system cannot naturally get rid of the virus it can put you at risk. Human hpv and throat/oral cancer frequently asked questions. Did you know that perhaps as many as 75% of adults carry hpv? Hpv vaccine is very important because it prevents cancer. Hpv is the most common sexually transmitted infection. Hpv is a group of more than 200 related viruses, some of which are spread through. Cdc research parents want to know that hpv vaccine is effective. People who have a persistent sore throat or enlarged lymphnodes should be examined. In clinical trials of boys and girls, the vaccine was shown to be extremely effective. How do you get infected by hpv? Oral cancer may be discovered when the dentist does a routine cleaning and examination. Hpv oral and oropharyngeal cancers are harder to discover than tobacco related cancers because the symptoms are not always obvious to the individual who is how do i know if i have hpv?
Be sure to tell your healthcare providers. If you would like to learn more. So there's usually no clear sign of whether you have hpv without a. Hpv is the most common sexually transmitted infection. I want your child to be protected from cancer.
Hpv Related Oscc Mouse Models Mouse Models Of Hpv Positive Oral Download Scientific Diagram from www.researchgate.net The doctor will asks you questions about your health and your lifestyle habits (like if you smoke or drink alcohol), will examine you, and order tests to find out what is. However, if you have a lot of sexual partners you are more likely to be infected with hpv and if your immune system cannot naturally get rid of the virus it can put you at risk. Be sure to tell your healthcare providers. Human papillomavirus (hpv) is the most common viral infection of the reproductive tract. People who have a persistent sore throat or enlarged lymphnodes should be examined. Cdc research parents want to know that hpv vaccine is effective. What is human papilloma virus (hpv)? They have been shown to prevent.
The source or location of cancerous cells are different for different forms of cancer, therefore treatment is cervical screening test.
It is something of a misnomer to call human papillomavirus (hpv) the cervical cancer virus. How did i get an oral hpv infection? What is hpv (human papillomavirus)? Human papillomavirus (hpv) is the most common viral infection of the reproductive tract. Oral cancer from hpv can affect both women and men. How do you limit your risks? Hpv is the most common sexually transmitted infection. Oral cancer may be discovered when the dentist does a routine cleaning and examination. However, if you have a lot of sexual partners you are more likely to be infected with hpv and if your immune system cannot naturally get rid of the virus it can put you at risk. Though oral cancers have long been linked to smoking, head and neck surgeon brandon prendes, md, says current research shows that hpv is directly related to some throat cancers. Oral cancer, like every other cancer, is caused by the overgrowth of cells. Oral hpv transmission can occur through contact with the mouth or genitals. While scientists don't always know why some cases of hpv spiral into cancer, they do know that not all strains carry a did you know that there are over 200 strains of the human papillomavirus out there?
Oral hpv transmission can occur through contact with the mouth or genitals. Research indicates that upwards of 75% of sexually active adults carry the. Some members of the hpv family of viruses can infect the mouth and throat. If you find out that you have an oral hpv infection, it does not necessarily mean that your partner was/is unfaithful people with throat cancer, with hpv in their tumour, live longer on average than people without hpv. Hpv (human papillomavirus) is a common virus spread through sexual contact.
Hpv Oral Cancer Facts The Oral Cancer Foundation from oralcancerfoundation.org In clinical trials of boys and girls, the vaccine was shown to be extremely effective. How does the doctor know i have oral cavity and oropharyngea l cancer? A reduction of oral hpv infections suggests that there might be a corresponding reduction in the oral cancers what to know about firearm safety if you have kids. Because hpv can cause cancer, it is important to know how to prevent hpv and how to prevent cancer after an hpv infection. Hpv is transmitted to your mouth by oral sex. Human hpv and throat/oral cancer frequently asked questions. Hpv oral and oropharyngeal cancers are harder to discover than tobacco related cancers because the symptoms are not always obvious to the individual who is how do i know if i have hpv? They have been shown to prevent.
Oral hpv transmission can occur through contact with the mouth or genitals.
In clinical trials of boys and girls, the vaccine was shown to be extremely effective. Oral cancer from hpv can affect both women and men. The risk of getting a second cancer from hpv is low, but your healthcare providers will continue to examine you regularly. These viruses are passed from person to person through if you have symptoms that suggest oral cancer, your. Did you know that perhaps as many as 75% of adults carry hpv? Of these, scientists have only identified about nine that can actually. The human papillomavirus (hpv) is the most common sexually transmitted virus in the united states. Oral cancer may be discovered when the dentist does a routine cleaning and examination. Hpv is transmitted to your mouth by oral sex. People who have a persistent sore throat or enlarged lymphnodes should be examined. How do you get infected by hpv? Hpv or the human papillomavirus can be passed on during french kissing. This is called oropharyngeal cancer.
Browse our listings to find jobs in germany for expats, including jobs for english speakers or those in your native language. Berikut kunci jawabannya yang dilansir dari teknologital.com daftar kunci jawaban bot ica ica family 100 line 2021 aduh aku … 21.03.2017 · mohon maaf pak mau tanya, saya beli motor gl pro b 4591 xe, plat mati bulan 2 kemaren dan pajak telat 3 x. 29 mei 2017 at … Apakah kendaraan terdaftar di provinsi jawa barat ? Biaya Perpanjang Stnk Motor 5 Tahunan 2018 from i0.wp.com Biaya ganti plat nomor sama denda pajak keseluruhan jadi berapa ya pak, surat2 lengkap mohon infonya. 1) bahan kuliah berupa buku ajar wajib untuk semua peserta, peserta harus memilikinya lebih awal sebelum perkuliahan dilakukan. Berbagai hal berkaitan dengan perkuliahan adalah sebagai berikut. Hier sollte eine beschreibung angezeigt werden, diese se...
Card Making Layouts / Kort. (With images) | Card making, Cards, Scrapbooking layouts : Greeting card layouts to inspire you when making cards. . I'm sharing three simple handmade cards today all using the same card layout, also known as a card sketch. Our card template library includes layouts for thank you cards, holiday cards, christmas cards, valentine's cards and more. The best way to show you how easy this layout is in making fabulous quick cards is with a video. All 5 of these simple greeting cards are pictured below along with cutting dimensions and their supplies. Forget generic cards that will be easily discarded, allow canva to unleash your creative potential and create a greeting card that will be cherished. Let's get the best card making supplies, new stamps, and creative juices flowing! Sketches on the s&s blog will all be for a2 size cards (5.5 x 4.25, half a sheet of cardstock) unless. Follow along with the video and pause where you n...
Cancer Zodiac Horoscope For 2020 / Pin by ˚₊· ͟͟͞͞ ๐๐๐๐ on ₊˚༄ 。* wallpaper in 2020 | Cancer ... - Cancer horoscope 2020 predicts that this year you will learn a lot about yourself by watching what other people do. . 2021 promises to be favorable for businessmen born under the cancer zodiac. The cancer 2020 horoscope forecasts that cancer people should accept changes that are likely to happen during the year. The 2020 cancer horoscope tells you about the main situations you will be facing throughout the year, in order for you to be well prepared and successful, no matter what comes your way. Do not be bothered, instead take it in good stride. According to the yearly horoscope, 2020 will be a year when all the zodiac signs will be able to take advantage of a new beginning, both in their personal this conjunction will take place and will mainly influence the water signs (cancer, scorpio, and pisces). For your full 2020 horoscope, download our sun signs mobile app. ...
Komentar
Posting Komentar